Advertisement

How To Correct Overbite Without Braces - It is a new and easy strategy to get rid of overbite.

How To Correct Overbite Without Braces - It is a new and easy strategy to get rid of overbite.. Some dentists may elect to treat your bite problem without braces, and others would refer you to an orthodontist. Can you fix an overbite without braces. If an overbite is deep, then the chin of the patient is generally pushed back by the upper teeth towards the jaw joint. However, this might not fix the problem all the way, and you could still end up needing braces. The most effective way to address an overbite is with orthodontic appliances like invisalign® or damon braces.

They are a tried and tested way to correct an overbite comfortably and efficiently. Oleg drut, orthodontist on may 20, 2020. Can you fix an overbite without braces? In very rare cases, surgery must be performed to correct an overbite. Some dentists may elect to treat your bite problem without braces, and others would refer you to an orthodontist.

Can You Fix An Overbite With Invisalign Fine Orthodontics Blogfine Orthodontics Blog
Can You Fix An Overbite With Invisalign Fine Orthodontics Blogfine Orthodontics Blog from www.fineorthodontics.com.au
Sometimes you can correct dental issues without braces by getting veneers. How to fix an overbite without braces an overbite is a dental condition where there is overlapping of maxillary central incisors over the mandibular central incisors. In order to fix this problem doctors … If the overbite is mild, yes you can. Typically overbite or underbite correction is a process that will take between 2 and 3 years and involves 2 stages of orthodontic procedures, and orthognathic surgery, and possibly even traditional veneers and crowns to get the correct bite and look for a patient. Overbites are most commonly treated with traditional braces that use brackets, wires and rubber bands to pull the teeth back into correct alignment. However, surgery may be required to correct serious overbite cases. The patient is likely to have crooked teeth or overcrowding so there are multiple problems to work on.

Check out our guide to treating overbite with braces, which covers different types of braces, costs and other important considerations in greater detail.

In very rare cases, surgery must be performed to correct an overbite. Yes, you can get teeth pulled if your overbite is caused by overcrowding. There is no downtime, no surgery, no hospitalization, no braces, far less if any pain, and no clear aligners. Teeth are simply repositioned using either clear aligners or braces. Some cases can be corrected with a full mouth reconstruction with dental crowns, but if your teeth are healthy, jaw surgery in combination with braces is the more ideal solution. In this video, i go over several ways your orthodontist may recommend t. Remember, braces do not correct the overbite: In rare cases, additional orthodontic appliances such as expanders and headgear are needed. Veneers can also be used to help resurface other dental issues and give you a bite that is healthier. The patient is likely to have crooked teeth or overcrowding so there are multiple problems to work on. Can you fix an overbite without braces. Place a small orthodontic rubber band on the tip of the tongue. A deep overbite is one of the longest orthodontic conditions to fix with braces.

18 years experience oral and maxillofacial surgery. How to fix an overbite without braces 2. Overbite correction methods, such as traditional braces, clear aligners or, in severe cases, surgery, can fix an overbite while also restoring natural. Teeth are simply repositioned using either clear aligners or braces. It is a new and easy strategy to get rid of overbite.

Overbite Correction In Houston And Sugarland Tx
Overbite Correction In Houston And Sugarland Tx from ismilespecialists.com
An overbite is the overlap or gap between the top and bottom front teeth.it's fairly common for the upper teeth to sit too far over or in front of the lower teeth, causing overbite teeth problems. While invisalign and braces work in a similar way to shift teeth into the correct alignment, braces require more intensive treatment but they produce more significant results. Fix your overbite without surgery or braces! How to fix an overbite without braces an overbite is a dental condition where there is overlapping of maxillary central incisors over the mandibular central incisors. How to use braces and forsus to treat an overjet, often referred to as an 'overbite'. 1 of transparent aligners for thousands of dentists and orthodontists. Overbite treatment without braces other than wearing braces, there is another method to get rid of an overbite that is invisalign. However, this might not fix the problem all the way, and you could still end up needing braces.

Some dentists may elect to treat your bite problem without braces, and others would refer you to an orthodontist.

Wheter or not the correction of your overbite can be treated with or without braces depends on the severity of your overbite, the diagnostic skills, expertise, and experience level of your dentist. Without proper intervention, an overbite can lead to gum disease, enamel wear, tooth decay, difficulty speaking, and other conditions. If the overbite is mild, yes you can. There is no downtime, no surgery, no hospitalization, no braces, far less if any pain, and no clear aligners. Laura edwards medically reviewed by dr. Fix your overbite without surgery or braces! Steps of overbite correction or tongue thrust exercise: Instead, talk to the dentists at long island implant and cosmetic dentistry about your malocclusion correction options, like invisalign. Overbite correction methods, such as traditional braces, clear aligners or, in severe cases, surgery, can fix an overbite while also restoring natural. Remember, braces do not correct the overbite: Press the gum line on the roof of the mouth, behind the top front teeth. They help build up the surface of thin or worn teeth with porcelain or other similar materials. Can you fix an overbite without braces?

Minor issues can be solved with a removable retainer. An overbite is the overlap or gap between the top and bottom front teeth.it's fairly common for the upper teeth to sit too far over or in front of the lower teeth, causing overbite teeth problems. Fortunately, dentists have spent generations learning how to fix this, and now overbite correction is the second most common reason people choose to get braces. They are a tried and tested way to correct an overbite comfortably and efficiently. However, if it is very severe, often braces is the best non surgical method of treating an overbite.

How Long Do Braces And Rubber Band Take To Fix Overbite Orthodontic Braces Care
How Long Do Braces And Rubber Band Take To Fix Overbite Orthodontic Braces Care from orthodonticbracescare.com
However, this might not fix the problem all the way, and you could still end up needing braces. In very rare cases, surgery must be performed to correct an overbite. Wheter or not the correction of your overbite can be treated with or without braces depends on the severity of your overbite, the diagnostic skills, expertise, and experience level of your dentist. And metal braces are definitely not a necessity. It is possible to fix an overbite without using braces through cosmetic dentistry. Typically overbite or underbite correction is a process that will take between 2 and 3 years and involves 2 stages of orthodontic procedures, and orthognathic surgery, and possibly even traditional veneers and crowns to get the correct bite and look for a patient. Most overbite cases will require some sort of orthodontic therapy to fully correct the problem. An overbite is the overlap or gap between the top and bottom front teeth.it's fairly common for the upper teeth to sit too far over or in front of the lower teeth, causing overbite teeth problems.

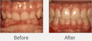
An overbite correction fixes an overbite.

18 years experience oral and maxillofacial surgery. Veneers can also be used to help resurface other dental issues and give you a bite that is healthier. How to fix an overbite without braces an overbite is a dental condition where there is overlapping of maxillary central incisors over the mandibular central incisors. Overbites can often be corrected without orthognathic surgery. This doesn't really correct the jaw alignment, but rather aligns the teeth differently. Some dentists may elect to treat your bite problem without braces, and others would refer you to an orthodontist. Fortunately, dentists have spent generations learning how to fix this, and now overbite correction is the second most common reason people choose to get braces. An overbite can be fixed without braces. The patient is likely to have crooked teeth or overcrowding so there are multiple problems to work on. They are a tried and tested way to correct an overbite comfortably and efficiently. How can you fix an overbite without braces? An overbite is the overlap or gap between the top and bottom front teeth.it's fairly common for the upper teeth to sit too far over or in front of the lower teeth, causing overbite teeth problems. Sometimes you can correct dental issues without braces by getting veneers.

Posting Komentar

0 Komentar